Sama seperti manusia, kucing juga bisa terkena asma. Bahkan, kucing adalah satu-satunya hewan domestik yang diketahui bisa terkena asma. Asma bukan penyakit yang langka di kucing; prevalensinya diperkirakan sekitar 1% sampai 5%. Artinya, 1 dari 20 sampai 100 kucing berisiko mengalami asma. Sayangnya, kondisi ini sering tidak terdiagnosis dengan baik, padahal asma dapat menurunkan kualitas hidup sampai mengancam nyawa kucing.
Apa saja gejala kucing terkena asma?
Gejala asma kucing tidak jauh berbeda dengan asma manusia. Kucing bisa mengalami batuk, napas jadi cepat, hidung tersubat, bernapas dengan mulut, sesak napas (terutama saat menghembuskan napas), bersin, bengek (wheezing), dan meler. Batuk pada kucing dapat dikelirukan dengan usaha untuk muntah, tetapi tidak keluar muntahannya. Usaha untuk bernapas yang bertambah sulit juga tampak dari gerakan perut si kucing. Untuk setiap kucing asma, gejala klinis yang muncul bisa bervariasi. Bisa jadi, seekor kucing hanya mengalami gejala batuk sesekali, tetapi bisa juga kucing sampai mengalami sesak napas yang mengancam nyawa. Jika paru-paru kucing didengarkan oleh dokter hewan dengan stetoskop, dapat muncul suara-suara pernapasan yang tidak normal.
Namun, gejala-gejala ini tidak spesifik untuk asma. Beberapa penyakit pernapasan lain juga menimbulkan gejala yang sama, sehingga perlu tahap diagnostik lanjutan.
Bagaimana asma pada kucing bisa terjadi?
Asma terjadi karena alergi; alergi yang sama dengan yang biasa menimbulkan gatal-gatal dan kemerahan di kulit. Bahkan, ada dokter hewan spesialis dermatologi yang bilang asma adalah satu-satunya penyakit bukan kulit dan rambut yang ditangani spesialis dermatologi. Saya pernah bahas soal diagnosis alergi di Waspada Diagnosis Palsu Alergi dan alergi makanan di Kucingmu Gatal? Kemungkinan Besar Bukan Alergi Makanan! Alergi asma punya mekanisme yang mirip, tetapi mungkin akan berbeda dalam beberapa aspek.
Reaksi alergi bisa terjadi karena dipicu benda asing yang disebut alergen. Alergen yang paling sering disebut sebagai penyebab asma adalah tungau, kecoa, rumput, tetapi ini data di negara lain. Sangat mungkin data di Indonesia (yang sayangnya belum ada) akan berbeda. Pada kucing yang normal (tidak alergi), benda asing ini seharusnya tidak ditanggapi oleh sistem imun kucing karena memang tidak berbahaya. Pada kucing alergi, sistem imun malah merasa terancam dan menyerang alergen. Masalahnya, ada harga yang harus dibayar setiap kali sistem imun bertindak. Sistem imun terpaksa mengubah kondisi jaringan tubuh, dan tidak jarang perubahan ini berdampak buruk bagi kucingnya juga.
Dalam kasus asma, bagian sistem kekebalan yang paling berperan adalah sel mast, eosinofil, dan antibodi IgE. Singkatnya, jika ada alergen, sel mast akan melepaskan granul-granul yang dimilikinya. Granul ini mengandung berbagai zat yang memicu terjadinya peradangan. Peradangan mengundang sel-sel radang (sel darah putih, terutama eosinofil) dan menyebabkan kontraksi otot polos pada saluran napas (bronkhus) sehingga bronkhus menyempit, serta meningkatkan produksi lendir di saluran napas. Ini yang membuat kucing sulit bernapas.
Bagaimana asma kucing bisa didiagnosis?
Belum ada metode diagnosis gold standard yang bisa memastikan bahwa seekor kucing benar-benar terkena asma. Terdapat beberapa penyakit pernapasan, khususnya menyangkut bronkhus, yang dapat dikelirukan dengan asma, misalnya infeksi saluran pernapasan, gagal jantung, dan parasit (cacing jantung). Namun, kombinasi berbagai metode diagnosis dapat membantu meyakinkan bahwa seekor kucing betul-betul terkena asma.
Metode diagnosis yang pertama dilakukan adalah pemeriksaan fisik dan riwayat kesehatan kucing. Jika kucing mengalami gejala seperti disebutkan di atas (Apa saja gejala kucing terkena asma?), asma dapat dimasukkan ke dalam daftar kemungkinan diagnosis. Pemeriksaan fisik kucing yang dicurigai punya masalah pernapasan harus dilakukan dengan hati-hati, karena handling yang kasar dan stres bisa memperparah kondisi kucing. Perlu diketahui bahwa hasil pemeriksaan fisik pada kucing yang asma bisa saja tampak normal, terutama jika kucing hanya mengalami gejala ringan dan kambuhan.
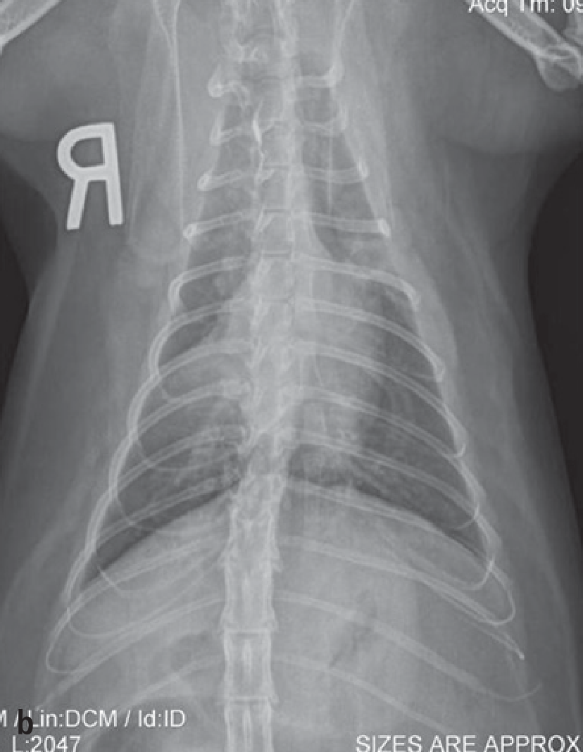
Jika pemeriksaan fisik menunjukkan adanya masalah saluran pernapasan, metode yang selanjutnya biasa dipilih adalah radiografi (x-ray) rongga dada untuk melihat ada tidaknya kelainan pada paru-paru dan jantung. Hasil radiografi akan diinterpretasikan oleh dokter hewan penanggung jawab, sehingga tidak perlu dipusingkan. Namun, sebagai gambaran, kucing yang asma bisa menunjukkan paling sering menunjukkan pola bronkhial, yaitu cincin putih atau dua garis putih seperti rel kereta api, menunjukkan adanya masalah pada bronkhus. Keanehan lain juga dapat terlihat, seperti hiperinflasi paru-paru karena kesulitan menghembuskan napas, dan kolaps lobus paru. Radiografi bisa sangat membantu mengerucutkan diagnosis, tetapi belum cukup untuk mengatakan seekor kucing kena asma. Pertama, sekitar 20% kucing dengan asma akan memiliki radiograf yang normal, sehingga radiograf yang tampak normal belum cukup untuk mengeliminasi kemungkinan asma. Kedua, radiograf asma sulit dibedakan dengan masalah bronkhus lain, seperti bronkhitis kronis karena infeksi.


Selanjutnya, bisa dilakukan bronkhoskopi atau bronchoalveolar lavage (BAL). Kedua metode ini mengharuskan kucing dibius terlebih dahulu. Bronkhoskopi dilakukan dengan memasukkan kamera ke saluran napas. Pada kucing asma, saluran napas dapat terlihat memerah, membengkak, dan diameternya mengecil, tetapi temuan ini tidak spesifik untuk asma saja. Bronkhoskopi membutuhkan peralatan yang mahal dan keahlian operator, sehingga mungkin tidak praktis dilakukan di kebanyakan tempat. Metode ini juga berisiko membuat otot bronkhus kram, sehingga bronkhus makin menyempit.
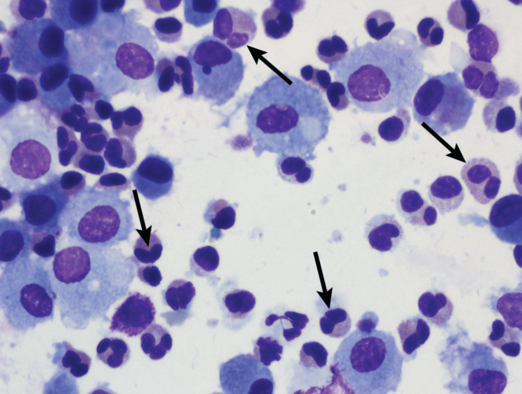
BAL adalah metode membilas saluran napas kucing, kemudian air bilasannya diambil kembali untuk dilihat sel-selnya. Pengamatan sel radang yang didapat dari BAL dapat digunakan untuk membedakan bronkhitis karena asma atau sebab lain, terutama infeksi. Peradangan asma biasa merupakan peradangan eosinofilik, sedangkan peradangan infeksi lebih neutrofilik. Eosinofil dan neutrofil adalah dua jenis sel darah putih dengan peran dan bentuk yang berbeda. Namun, membedakannya terkadang tetap susah karena tidak ada aturan baku. Ada yang bilang peradangan eosinofilil ditandai dengan minimal 17% eosinofil dari sampel BAL, tetapi ada juga yang bilang 5% eosinofil sudah tidak normal.

Peradangan eosinofilik juga dapat dijumpai pada infestasi parasit cacing jantung Dirofilaria immitis, sehingga penting untuk dibedakan. Ada metode sendiri untuk diagnosis cacing jantung, yang tidak akan saya bahas di sini. Namun, cacing jantung sebenarnya tidak begitu sering dijumpai di Indonesia, terlebih di kucing yang bukan inang aslinya. Inang aslinya adalah anjing. Cacing jantung dapat menyerang kucing, tetapi mereka tidak dapat tumbuh sebaik di anjing.
Terdapat metode diagnosis lain yang sedang dikembangkan, yaitu deteksi kerusakan oksidatif menggunakan hembusan napas saja, tetapi metode ini belum digunakan secara luas.
Asma kan alergi, bagaimana kita bisa tahu kucingnya alergi terhadap apa?
Sama seperti alergi lingkungan dan makanan, mengetahui kucing alergi terhadap apa sangat sulit. Metodenya kurang lebih sama seperti yang pernah saya jelaskan di Waspada Diagnosis Palsu Alergi, yaitu menggunakan antibodi IgE dari sampel serum darah atau uji intradermal. Namun, setahu saya keduanya belum tersedia secara luas di Indonesia. Selain itu, penelitian yang mendukung akurasinya dilakukan pada model asma eksperimental, yang belum tentu akan sama hasilnya dengan asma yang terjadi secara alami.
Pengobatan apa yang bisa dilakukan?
Jika kucing mengalami kondisi asma akut, pengobatan fokus ke menyelamatkan nyawa kucing dan membuatnya dapat bernapas kembali. Ini dilakukan dengan pemberian oksigen, mengurangi stres dan handling, serta pemberian obat bronkhodilator untuk memperluas saluran napasnya. Bronkhodilator bisa diberikan melalui inhalasi atau injeksi, tetapi jika kucing sudah susah bernapas, mungkin ia tidak bisa lagi menghirup obat inhalasi dengan optimal sehingga metode injeksi mungkin lebih efektif.

Asma kucing merupakan kondisi yang tidak bisa sembuh, tetapi bisa dikendalikan agar kucing dapat hidup senyaman mungkin. Manajemen asma kucing dilakukan dengan modifikasi lingkungan dan penggunaan obat bronkhodilator dan glukokortikoid (steroid). Pada suatu penelitian berdasarkan survei daring yang diterbitkan tahun 2022, 92% pemilik kucing dengan gangguan pernapasan bawah kronis (bukan hanya asma) mengaku kucingnya diresepkan glukokortikoid, 54% dianjurkan mengevaluasi kualitas udara, dan 52% diberi bronkhodilator. Obat-obatan lain yang diberikan adalah antibiotik (untuk infeksi, bukan asma), antiparasit, pengendalian cacing jantung, antimuntah, dan pergantian makanan.
Karena asma merupakan kondisi alergi, penanganan paling idealnya tentu dengan menghindari alergen tersebut, tetapi prakteknya ini sangat susah karena alergen saluran pernapasan ada di mana-mana. Selain itu, zat yang menyebabkan alergi pada individu kucing sulit diidentifikasi. Yang bisa dilakukan adalah menghindarkan kontak dengan hal-hal yang berpotensi menjadi alergen, yaitu debu, serbuk, asap, dan aerosol. Kebanyakan pemilik kucing juga berhenti menggunakan pewangi ruangan seperti semprotan atau lilin aromaterapi, serta mengganti litter kucingnya menjadi bahan yang tidak berwangi dan berdebu lebih sedikit. Penggunaan HEPA filter untuk membersihkan udara juga bisa bermanfaat.
Terapi utama yang digunakan adalah antiradang glukokortikoid, karena asma adalah kondisi peradangan saluran pernapasan. Namun, glukokortikoid adalah obat keras dengan berbagai risiko efek samping jika digunakan dengan tidak hati-hati. Sebanyak 43% pemilik kucing yang menggunakan glukokortikoid untuk manajemen gangguan pernapasan bawah kronis melaporkan adanya efek samping, meskipun efek samping yang paling sering tampak tidak terlalu membahayakan (bertambah makan dan minum). Pemberian glukokortikoid untuk asma biasa diawali dengan obat oral, yang kemudian dosisnya dikurangi sampai ke dosis efektif terrendah agar efek sampingnya juga minimal. Jika memungkinkan, glukokortikoid oral dihentikan dan diganti dengan glukokortikoid inhalasi saja. Efek sampingnya lebih kecil, tetapi tetap ada risiko. Contohnya, pernah dilaporkan demodikosis pada area mulut kucing yang diterapi glukokortikoid inhalasi. Salah satu efek samping glukokortikoid adalah menekan sistem imun, sehingga memberi kesempatan tungau Demodex untuk berkembang.
Obat-obatan bronkhodilator bisa diberikan dalam bentuk oral atau inhalasi (menggunakan nebulizer atau metered-dose inhaler). Sebenarnya, bukti efektivitas bronkhodilator dalam asma alami kucing masih kurang memadai, tetapi sejauh ini masih direkomendasikan sebagai pertolongan pertama jika terjadi emergency serangan asma yang disertai penyempitan bronkhokonstriksi. Bronkhodilator tidak dianjurkan digunakan sebagai terapi rutin karena malah dapat memperparah peradangan saluran pernapasan. Metered-dose inhaler sudah lama digunakan pada manusia dengan asma, tetapi tentu ada perbedaan manusia dan kucing. Kucing tidak bisa disuruh diam dan menghirup inhaler seperti manusia. Karena itu, metered-dose inhaler yang digunakan harus terpasang dengan spacer, seperti juga digunakan untuk anak-anak manusia.

Ada beberapa pengobatan yang juga digunakan dalam manajemen asma kucing, tetapi saat ini tidak terlalu direkomendasikan karena bukti yang kurang cukup atau justru penelitian menunjukkan obat-obat tersebut kurang efektif.
Meskin sekarang belum ada terapi untuk menyembuhkan asma dengan sempurna, metode allergen-sensitized immunotherapy (ASIT) saat ini sudah digunakan untuk mengurangi terjadinya asma. Prinsipnya, tubuh kucing dipaparkan kepada alergen secara bertahap agar membentuk toleransi sistem kekebalan terhadap alergen tersebut. Namun, ASIT tidak murah dan mudah, serta belum tersedia secara luas. Sebelum memulai ASIT, alergen yang menyebabkan asma di kucing perlu diketahui dulu secara spesifik, karena hanya alergen yang sesuai yang bisa menginduksi toleransi sistem kekebalan.
Adakah implikasi asma kucing bagi manusia?
Asma kucing dan manusia memiliki banyak kemiripan, sehingga kucing sering digunakan sebagai hewan model dalam mempelajari asma pada manusia. Sebaliknya, banyak perkembangan dan penelitian pada asma manusia juga dapat diterapkan di kucing. Misalnya, saat ini risiko terjadinya asma manusia diduga dapat dipengaruhi oleh obesitas di masa kanak-kanak. Hal ini mungkin juga berlaku bagi kucing. Selain itu, obat yang dikembangkan bagi manusia, seperti antibodi monoklonal terhadap interleukin-5 (IL-5), mepolizumab, mungkin akan dapat digunakan di kucing. IL-5 adalah salah satu zat kimia yang berperan dalam terjadinya alergi. Antibodi monoklonal dapat memblokade IL-5 sehingga tidak bisa bekerja.
Dalam 20 tahun terakhir, terjadi peningkatan kejadian asma baik pada manusia maupun kucing. Bahkan, asma terjadi bersamaan pada manusia dan kucing yang hidup bersama. Kejadian ini menandakan kemungkinan adanya faktor lingkungan yang mempengaruhi manusia maupun kucing.
Namun, tentu tidak semua aspek asma manusia bisa disamakan dengan kucing. Salah satunya adalah contoh penggunaan metered-dose inhaler yang lebih sulit pada kucing. Pada level anatomis dan fisiologis, ada perbedaan yang dapat mempengaruhi manajemen asma kucing dan manusia. Misalnya, asma pada manusia sering ditangani dengan obat inhibitor leukotrien (salah satu mediator peradangan) seperti montelukast dan zafirlukast. Namun, ternyata leukotrien tidak berperan penting dalam terjadinya asma pada kucing, sehingga pemberian inhibitor leukotrien pada kucing tidak bermanfaat.
Referensi
Garrity, S., Lee-Fowler, T., & Reinero, C. (2019). Feline asthma and heartworm disease: Clinical features, diagnostics and therapeutics. Journal of Feline Medicine and Surgery, 21(9), 825–834. https://doi.org/10.1177/1098612X18823348
Kirschvink, N., Leemans, J., Delvaux, F., Snaps, F., Clercx, C., & Gustin, P. (2007). Functional, inflammatory and morphological characterisation of a cat model of allergic airway inflammation. Veterinary Journal, 174(3), 541–553. https://doi.org/10.1016/j.tvjl.2006.11.004
Lee-Fowler, T. M., Cohn, L. A., DeClue, A. E., Spinka, C. M., Ellebracht, R. D., & Reinero, C. R. (2009). Comparison of intradermal skin testing (IDST) and serum allergen-specific IgE determination in an experimental model of feline asthma. Veterinary Immunology and Immunopathology, 132(1), 46–52. https://doi.org/10.1016/j.vetimm.2009.09.014
Mueller, R. S., Nuttall, T., Prost, C., Schulz, B., & Bizikova, P. (2021). Treatment of the feline atopic syndrome – a systematic review. Veterinary Dermatology, 32(1), 43-e8. https://doi.org/10.1111/vde.12933
Nafe, L. A. (2020). Feline Asthma. Clinician’s Brief, (July), 17–21.
Paulin, M. V, Caney, S. M., & Cosford, K. L. (2022). Online survey to determine client perceptions of feline chronic lower airway disease management: response to therapy, side effects and challenges encountered. Journal of Feline Medicine and Surgery, 1–9. https://doi.org/10.1177/1098612×211070988
Reinero, C. R. (2014). Feline Asthma. In C. Noli, A. Foster, & W. Rosenkrantz (Eds.), Veterinary Allergy. John Wiley & Sons, Ltd.
Reinero, C. R., DeClue, A. E., & Rabinowitz, P. (2009). Asthma in humans and cats: Is there a common sensitivity to aeroallegens in shared environments? Environmental Research, 109(5), 634–640. https://doi.org/10.1016/j.envres.2009.02.001
Trzil, J. E. (2020). Feline Asthma: Diagnostic and Treatment Update. Veterinary Clinics of North America – Small Animal Practice, 50(2), 375–391. https://doi.org/10.1016/j.cvsm.2019.10.002
